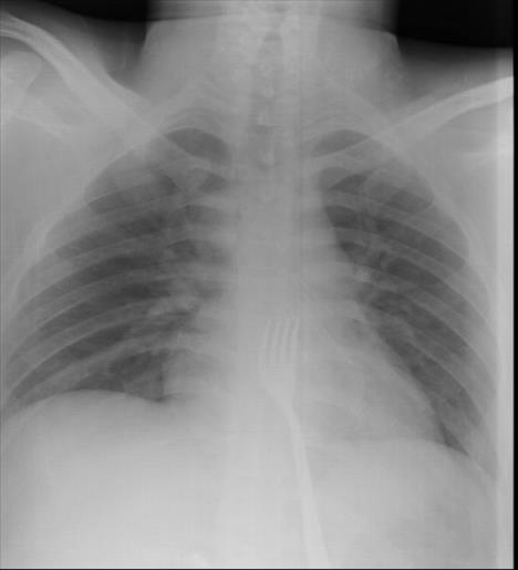
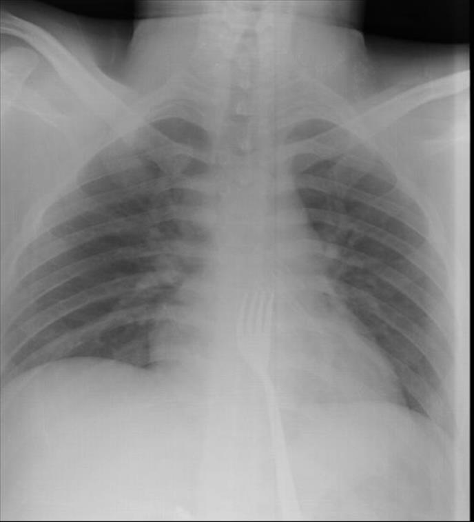
Lekari u turskoj bolnici uspešno su operisali mladića koji se žalio na bolove u stomaku, a iz želuca mu je izvađena metalna viljuška.

Mladić O. A. imao je velike bolove u stomaku i zatražio je pomoć na Univerzitetskom kliničkom centru. Nespretni 20-godišnjak je lekarima kazao da misli da je progutao viljušku, zbog čega je podvrgnut rendgen snimanju.

turska-viljuska-u-stomaku.jpg
Foto: Anadolija

Na snimku je uočena metalna viljuška duga 15 centimetara, koju su lekari potom odstranili iz tela. Hirurg Mehmet Erikoglu je kako je sreća da je mladić viljušku progutao "naopačke" pa glatka strana drške nije napravila veća oštećenja pri prolasku kroz jednjak.

turska-viljuska-u-stomaku.jpg
Foto: Anadolija

"Bilo je mnogo slučajeva da ljudi progutaju različite predmete, ali ovo je prvi put da smo se susreli sa slučajem da je neko progutao viljušku", kazao je Erikoglu.