OTIŠAO KOD LEKARA ZBOG MIGRENE, ONI OTKRILI UŽAS ISPOD LOBANJE Zarazila ga hrana koju Srbi obožavaju: "Položila je jaja u mozak"
Muškarac sa Floride otišao je kod lekara žaleći se na uporne migrene, a tamo je usledio šokantno otkriće: lekari su ustanovili da ima pantljičaru u mozgu!
Neimenovani pacijent (52) zatražio je medicinsku pomoć nakon što su mu hronične glavobolje postale učestalije u poslednja četiri meseca i lekovi su prestali da deluju.
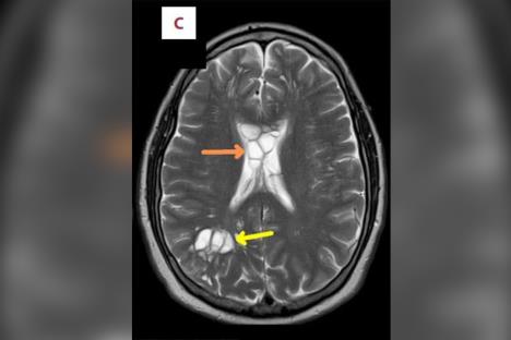
Skeniranje je pokazalo višestruke ciste na obe hemisfere njegovog mozga, kao i otok, za koji su stručnjaci za zarazne bolesti potvrdili da je rezultat svinjske pantljičare koja je položila jaja u njegov mozak i iritirala mu tkivo ispod lobanje.
Veruje se da je oboleo nakon što je jeo nedovoljno kuvanu slaninu i lekarima je rekao da više voli meku slaninu.
Pacijent iz Orlanda rekao je lekarima u Orlandu da njegovi normalni lekovi više ne zaustavljaju migrene, koje su se sada dešavale skoro svake nedelje.
Rekao je da nedavno nije putovao van zemlje niti jeo sirovu hranu. CT i MRI skeneri su pokazali višestruke ciste na obe strane njegovog mozga. Dijagnostikovana mu je parazitska infekcija neurocisticerkoza.
Stanje se koristi da opiše kada larvalne ciste - zatvorene kese koje sadrže nezreli stadijum parazita - svinjske pantiljičare inficiraju različite delove tela i izazovu upalu.
Lekari pacijenta veruju da je parazit ušao u njegovo telo preko nedovoljno kuvane hrane, a zatim je putovao od creva do mozga kroz krvotok.
Simptomi zavise od toga gde se u mozgu nalazi koliko cista, mada najčešće uključuju konfuziju, nedostatak pažnje na ljude i okolinu, probleme sa ravnotežom i višak tečnosti u mozgu poznat kao hidrocefalus.
Stručnjaci koji su lečili pacijenta takođe su primetili da se napadi javljaju kod oko 80 odsto pacijenata sa infekcijom.
Pacijent je odveden na odeljenje intenzivne nege i četiri puta dnevno mu je davan kortikosteroid deksametazon da bi se smanjio otok u mozgu.
Dve nedelje su mu davali albendazol i prazikvantel, koji se koriste za lečenje infekcija crvima, tako da su ciste pacijenta nestale.
Kurir.rs/Dejli mejl