Nedugo zatim Eloiza (9) je primetila da ne može da hoda pravo niti da vozi bicikl

LONDON - Devetogodišnjoj Eloizi Mils lekari su otkrili cistu na mozgu veličine pomorandže kada je iz čista mira počela da peva falš!

Devojčica sjajnog glasa koja je od ranog detinjstva pokazivala talenat za muziku, najednom je počela da falšira bez ikakvog objašnjenja.

Na svu sreću, spasao ju je vlastiti glas jer su je baba i deda odveli kod lekara da proveri šta joj se dogodilo sa glasom i zašto više ne peva kao pre.

Nedugo zatim primetili su da Eloiza ne može da hoda pravo niti da vozi bicikl.

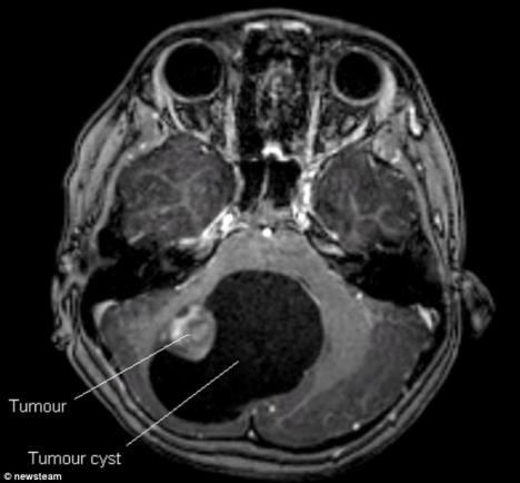
Pregledom na skeneru otkriven joj je tumor na mozgu veličine oraha okružen cistom veličine pomorandže. Malecka je glavobolje već trpela neko vreme, ali kada je počela da gubi pravnotežu pri hodu porodici je bilo jasno da je nešto ozbiljno posredi.

"Slobodno se može reći da joj je loše pevanje spaslo život", kaže njena baka Šeril Mils (57).

Posle tročasovne operacije, mala Eloiza se brzo oporavila i sada najrađe peva Adeline pesme.

devojcica-pevanje-fals-tumor-cista-mozak.jpg
Foto: Dejli Mejl