TUBERKULOZA U ŠKOLI: Učenica (14) umrla, celo odeljenje, profesori i porodica na testiranju!
INZBRUK - Učenica stara 14 godina umrla je u Tirolu od teškog oblika tuberkuloze, posle čega su, zbog opasnosti od širenja zaraze, celo odeljenje od 30 učenika i profesori poslati na testiranje krvi. Rezultate analiza čeka i porodica učenice poreklom iz Čečenije koja u Austriji živi već 10 godina.
"Činimo sve da se ispita im li još zaraženih. Roditelji ostalih đaka ne treba da brinu, imamo poverenje u lekare", rekao je direktor škole Kurt Angerer.
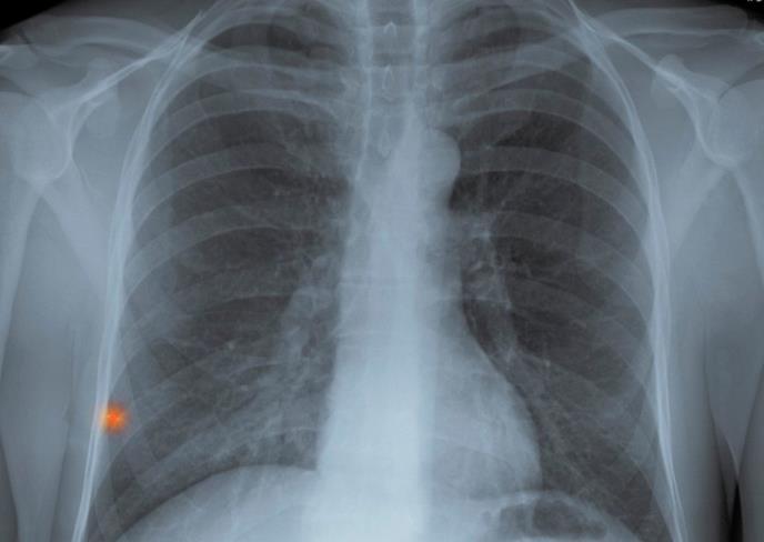
Devojčica je primljena u bolnicu sa glavoboljom, slabošču i problemima sa disanjem. Umrla je ubrzo po prijemu, a dr Aleksandar Fasl iz inzbruške bolnice kaže da je reč o milijarnoj tuberkulozi, veoma retkom i teškom obliku ove bolesti.
"Zbog atipičnih simptoma kao što su glavobolja i slabost, bolest se teško otkriva. Važno je smiriti javnost i reći da je prvih 20 nalaza u redu, a da se na ostale čeka nekoliko nedelja", kaže dr Fasl.
