Znate li da je sposobnost da održite ravnotežu povezana s rizikom za moždani udar i nastanak demencije?

Ovaj članak je preuzet sa sajta Men's Health.

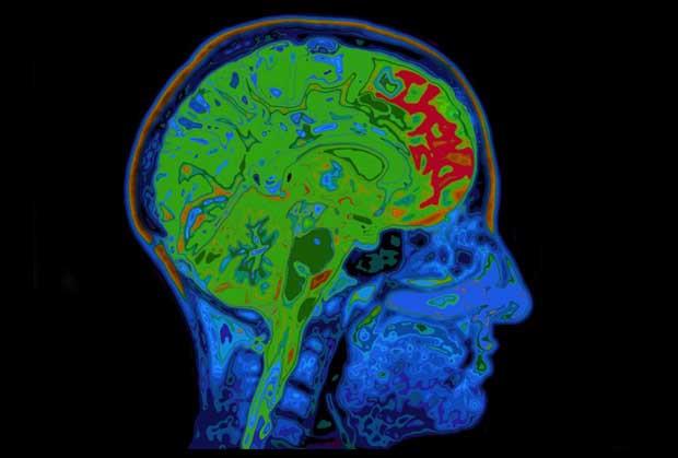
Novo istraživanje u Japanu je otkrilo da ljudi koji ne mogu da stoje na jednoj nozi 20 sekundi ili duže, imaju više promena u mozgu, koje su povezane sa moždanim udarom i demencijom od ljudi, koji imaju dobar balans. Kod onih koji su se loše pokazali na testu ravnoteže može da se zabeleži i niži nivo kognitivnih funkcija u odnosu na ljude koji mogu da uspostave dobar balans.

Otkriveno je da su stariji ljudi i ljudi sa višim indeksom telesne težine lošije uradili test balansa, kao i da upravo ove kategorije ljudi imaju veći rizik od moždanog udara i demencije.

Ranija istraživanja su pokazala da bolesti u malim krvnim sudovima u mozgu, kao i povišen krvni pritisak mogu često da utiču na ravnotežu i uspostavljanje balansa.

Tako da vam ovaj test neće reći sve što treba da znate. Potrebno je da dva puta godišnje proverite krvni prtisak, pošto on mnogo češće ukazuje na zdravlje vašeg mozga.

Takođe, ako promenite bilo kakve promene u balansu, svakako posetite vašeg lekara.

SA SAJTA MEN'S HEALTH PREPORUČUJEMO VAM JOŠ:

SEKS: Može li penis da se zaglavi tokom odnosa?

Ovo su najbolje scene treninga u filmovima

Ko je Tim Hauard?

Namirnice koje možete večerati bez trunke griže savesti

Uradite 10 sklekova sa tapšanjem