Slušaj vest

Jedna tiktokerka iz Meksika mislila je da je uporan kašalj samo prolazna reakcija na promenu vremena. Međutim, ispostavilo se da je pravi uzrok mnogo ozbiljniji i gotovo nezamisliv – njen pirsing iz nosa završio je duboko u plućima.

Neobična ispovest 26-godišnje Monike Dejanire Kabrere Barahas ubrzo je postala viralna na TikToku, gde je, prema navodima, prikupila čak 4,7 miliona pregleda.

Kašalj nije prolazio više od mesec dana

Kako je Monika objasnila u objavama, u početku nije ni primetila da joj nedostaje nakit, jer ima veliki broj pirsinga. Tek kada je razvila hronični kašalj koji je trajao duže od mesec dana, odlučila je da ode kod lekara.

profimedia-1089210764.jpg
Foto: Jam Press / Jam Press / Profimedia

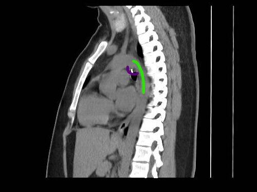
Prema pisanju medija, metalni deo nakita nalazio se svega 0,5 milimetara od aorte, što je čitavu situaciju učinilo dodatno opasnom.

Pretpostavlja da je pirsing udahnula u snu

Monika je iznela i svoju pretpostavku o tome kako je došlo do bizarne nezgode.

„Jedina teorija koju imam, a koju sam rekla i pulmologu, jeste da sam zaspala, da je kuglica otpala i da se to jednostavno dogodilo“, rekla je Dejanira za Creatorzine.com.

„Ležala sam na leđima, nisam ništa primetila i tako sam napravila problem“, dodala je.

Rutinska intervencija pretvorila se u ozbiljnu operaciju

Monika Dejanira Kabrera Barahas
Monika Dejanira Kabrera Barahas Foto: Jam Press / Jam Press / Profimedia

Ono što je u početku trebalo da bude rutinsko vađenje stranog tela, koje bi trajalo oko 20 minuta, ubrzo se pretvorilo u mnogo komplikovaniji zahvat.

Tokom prvog pokušaja lekari nisu uspeli da pomere metalni deo, jer je on već počeo da prijanja uz unutrašnje tkivo.

„Na kraju je trajalo sat i 20 minuta, a ipak nisu mogli da ga izvade, jer se zakačio za moje telo“, rekla je, prenosi Džem pres.

U strahu od najgoreg napisala oproštajno pismo

Pogledajte u galeriji kako je to izgledalo:

Monika Dejanira Kabrera Barahas završila u bolnici zbog pirsinga koji se zaglavio u njenim plućima Foto: Jam Press / Jam Press / Profimedia

Pošto ju je čekala nova, invazivnija operacija, kao i rizik od smrtonosnog krvarenja, Monika je, kako kaže, bila spremna i na najgori ishod.

Noć pred operaciju napisala je oproštajno pismo svojim najbližima.

„Iskreno sam mislila: ‘Umreću’“, rekla je.

„To je užas koji nikome ne bih poželela“, dodala je.

Lekar šokiran koliko je metal bio blizu srca

Prema njenim rečima, i hirurg je bio zatečen time koliko se metal nalazio blizu srca. Monika tvrdi da joj je doktor tada rekao:

„Izgleda da Bog čuva svoja stvorenja.“

Ona veruje da bi, da metal nije na vreme otkriven, posledice mogle da budu kobne. Da je probio pluća ili srce, verovatno bi došlo do kolapsa pluća ili pucanja aorte.

Posle horora donela važnu odluku

profimedia-1089210781.jpg
Foto: Jam Press / Jam Press / Profimedia

Nakon svega što je prošla, Monika kaže da više ne planira da nosi septum pirsing.

„Volim pirsinge i mnogo sam volela svoj septum, ali u mom slučaju ga više ne bih ponovo stavila zbog straha koji sam doživela“, poručila je.

 Video: Jasmina muti um pirsinzima

Jasmina je žena sprskog pevača: Pomutila um muškarcima pirsingom na usni i dekoletom Izvor: Instagram