BRZO SE VRAĆAM, ŽENA PROGUTALA KLJUČ, SAMO DA JOJ POMOGNEM Drama u ordinaciji u Beogradu, došla kod zubara, a završila u Urgentnom
Lekari koji rade na hitnom prijemu u bolnicama tokom karijere nagledaju se raznih čudnih slučajeva. Neretko pacijenti dolaze sa tegobama za koje se jednim pregledom ustanove da su izazvane stranim telom u organizmu kome tu nije mesto.
Priče o tome kako je neki neobičan predmet završio u nečijem telu su različite, a jedna od njih, koja ovih dana kruži društvenim mrežama, sve je samo ne obična.
Jedan korisnik Tvitera, koji je čekao pregled u Urgentnom centru, posvedočio je nesvakidašnjoj situaciji, a svoje iskustvo je podelio na društvenim mrežama.
- Došao u Urgentni centar na neku kontrolu, kaže mi doktor: "Sad ću da dođem, treba da pomognemo nekoj ženi, progutala ključ" - počeo je svoju priču mladić.
Šok je usledio malo kasnije.
- Kasnije saznajem da ju je tu doveo zubar kojem je ispao neki mali ključ dok joj je popravljao zub - navodi mladić.
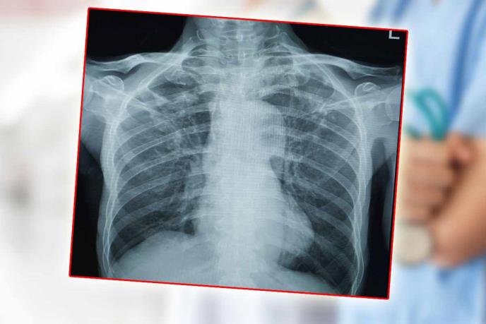
Sve se navodno odigralo u jednoj stomatološkoj ordinaciji u Beogradu, a "ključ" koji je žena udahnula ustvari je deo alata koji se koristi prilikom ugradnje i održavanja zubnog implanta.
Čim je shvatio šta se desilo, zubar je svoje pacijentkinju odvezao u Urgentni centar, gde su joj lekari odmah snimili grudni koš i ustanovili gde se strano telo nalazi.
Ubrzo je "ključ" izvađen bronhoskopom, a žena bez tegoba puštena kući.
(Kurir.rs/Blic)