NE KLJUKAJTE SE LEKOM ZA KONJE: Uopšte ne štiti pluća, a od njega MOŽETE I VID DA IZGUBITE!

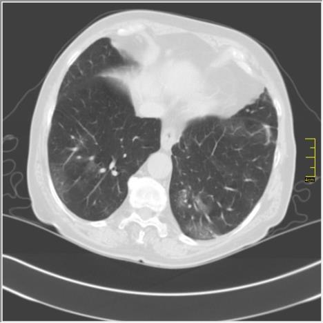
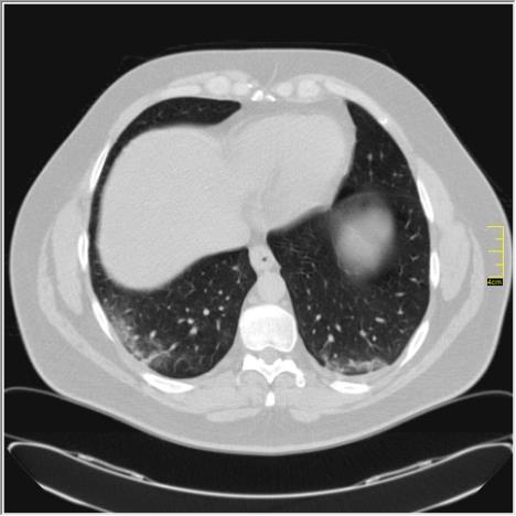
U modi, posebno među nevakcinisanima, i dalje je konjski lek "ivermektin", koji, kako je to pokazao snimcima pluća radiolog dr Aleksandar Ivković, ama baš ništa ne pomaže kod korone, a može ozbiljno da našteti zdravlju, pa da dovede do gubitka vid.
"Ivermektin" se koristi za lečenje parazita kod životinja, a iako su neka istraživanja nagoveštavala da bi mogao da ima efekta kod kovida 19, to je opovrgnuto. Ipak, neke zemlje ga i koriste za lečenje kovida, a američka Uprava za hranu i lekove (FDA) upozorila je stanovništvo SAD rečima: "Vi niste konj. Niste krava" uz naglašavanje da je uzimanje velikih doza "ivermektina" opasno i da može naneti ozbiljnu štetu. A bolnice u Oklahomi napunjene su pacijentima predoziranim "ivermektinom".
Dr Ivković je radiolog iz Niša i pokazao je snimke svojih pacijenata koji su tvrdili da su im njihovi lekari prepisali ovaj veterinarski lek. Jedan je, kako navodi dr Ivković, rekao da mu je to prepisao lekar jedne kovid bolnice koji je na nekom položaju. Svakako, javna je tajna da se to i te kako koristi i u Srbiji, naravno, ilegalnim kanalima, jer ga u protokolu lečenja kovida 19 nema. Kao ni igde u Srbiji za ljudsku upotrebu.
- Da li deluje na koronu? U početku su se pojavile neke studije koje su tvrdile da deluje. Čim je urađena prva ozbiljna studija, došlo se do zaključka da ima dejstvo slično placebu, odnosno da nema dejstvo - naveo je dr Ivković u blogu.
Dodao je da je kod njega bilo nekoliko mladih (32 do 36 godina), zdravih i jakih pacijenata i jedan stariji (80 godina).
- Kod pacijenata sa "ivermektinom" postoje svi elementi kovida sa izraženom fibrozom, znači nema ni govora da neće biti komplikacija. Svi pacijenti koji koriste "ivermektin", po pravilu, nisu vakcinisani. U ovoj pandemiji je primećeno da oponenti vakcinacije pristaju na korišćenje svega drugog, pa čak i lekova za ovce, ali vakcine ne žele - napisao je dr Ivković.
On je objasnio da postoji "ivermektin" za ljude, da ga je američka FDA odobrila da se koristi za tzv. zanemarene tropske bolesti - NTD, onhocerkozu i strongiloidozu, drugim rečima za neke crve u tropskim predelima.
- Već sam dosadio o kursevima na kojima pojedini šarlatani uče druge da postanu identični šarlatani - napisao je dr Ivković.
Dr Džejson Mekileja iz Oklahome naveo je da je pacijentima bio potreban hitan tretman u jedinicama hitne pomoći u bolnicama u Oklahomi posle predoziranja lekom, da su dolazili s mučninama, bolovima u mišićima, a neki su čak i gubili vid.
- Neki ljudi koji uzimaju neodgovarajuće doze doveli su se u gore stanje nego da su zaraženi koronavirusom - rekao je dr Mekileja za lokalni medij KFOR.
Kurir.rs/J. S. S.