REVOLUCIONARNO Srpski lekari na Institutu Dedinje upotrebili savremeni softver vFFR! Prvi put u Srbiji, u regionu samo u Mađarskoj
Ekipa straučnjaka Instituta za kardiovaskularne bolesti "Dedinje", prvi put u Srbiji, a i regionu, nakon Mađarske, upotrebila savremeni softver vFFR, koji omogućava brže, lakše i preciznije dijagnostifikovanje stenoza na koronarnim arterijama.
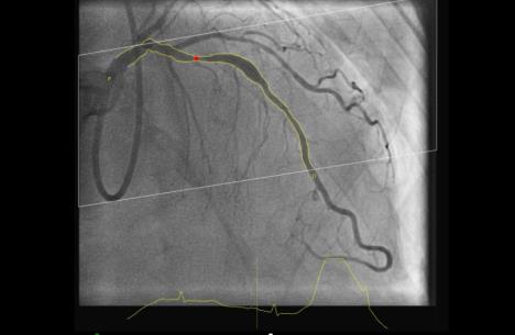
- Pomoću ovog softvera pravi se 3D rekonstrukcija snimka arterija, dobijenog koronarografijom, koja daje preciznije podatke o procentu suženja, prečniku naslaga i dužini opstrukcije krvnog suda. Ovaj savremeni program 3D rekonstrukcije slike suženog ili zacepljenog krvnog suda, zapravo, procenjuje stepen pada pritiska u njemu. Ova procedura u kojoj je softverski nalaz procenitelj težine bolesti, odnosno, stepena začepljenja krvnog suda je, zapravo, zamena invazivne metode FFR, kojom se do sada uspostavljala dijagnostička slika, ali na invazivan način uz upotrebu žica, katetera i kontrasnih sredstava - navodi se u saopštenju i dodaje:
- Virtuelna rezerva frakcionog protoka (vFFR) je fantastična zamena koja precizno i za kraće vreme, razotkriva sve pokazatelje stenoze sa ranije dobijenog koronarnog snimka, a uz pomoć računarskog modelovanja dinamike fluida. Zato, za ovakav metod možemo reći da predstavlja zlatni standard u proceni stenoze koronarnih arterija, kojim se ubrzava najpreciznije donošenje kliničkih odluka i omogućava brza procena da li suženje na krvnom sudu zahteva ugradnju stenta, ili se stenoza može lečiti i uz pomoć lekova.Đ'e8 Kada se vizuelno procenjuje stepen suženja stenoze na krvnim sudovima srca, nije uvek moguće sa sigurnošću utvrditi da li se radi o hemodinamski značajnim naslagama, ili ne.
Takođe navode i da se za razliku od standardne metode FFR, koja je zbog primene odgovarajućih žica pomalo nezgodna i zahtevna za rad i gde postoji mogućnost određenih komplikacija, a uz to i finansijski dosta košta, vFFR program će za pacijente biti bezbednija i brža metoda, za Institut jeftinija, a za lekare jednostavnija za rad.
- Uz pomoć ovog softvera, na Institutu za kardiovaskularne bolesti ,"Dedinje", odmah nakon prezentacije ove nove dijagnostičke metode, kojom je dvojici pacijenata starosti 59 i 62 godine, za kratko vreme, konstatovan stepen stenoze i odlučeno da li treba da se operišu ili će biti dovoljna samo ugradnja stenta. Prednosti vFFR metode predstavili su holandski stručnjaci Bert Stoffer i Jorn Roien, edukujući domaćine za primenu ovog virtuelnog programa koji će u naredna dva meseca biti na ,"probnom" radu u Institutu "Dedinje" , što je sasvim dovoljno vremena da se proceni da li se dosadašnji rutinski rad pomoću FFR metode, može zameniti ovom novom.
Kurir.rs/ A. K.