Bolovi u kuku ozbiljan su izazov koji značajno narušavaju kvalitet života, pa je mnogim pacijentima operacija zamene kuka veštačkim neizbežna opcija kako bi se vratila normalna funkcionalnost. Poznata kao artroplastika kuka, ova hirurška procedura pruža efikasno rešenje u 90 odsto slučajeva. Ipak, operacija nosi i određene rizike zbog čega je odabir iskusnog hirurga koji će prepoznati i preduprediti komplikacije od presudne važnosti.

Operacija kuka, odnosno implantacija veštačkog zgloba kuka predstavlja kompleksnu hiruršku proceduru, a bez obzira na to koliko su medicinski stručnjaci vešti i uspešni u obavljanju ove operacije, u izvesnom procentu se mogu javiti komplikacije, koje u odnosu na mesto tegoba mogu biti lokalne, kada su vezane za sam operisani kuk, ili generalizovane, kada se manifestuju na celokupan organizam.

shutterstock-280947350.jpg
Foto: Shutterstock, Ilustracija

- Upravo se zbog toga izbor stručnog i posvećenog hirurga izdvaja kao najznačajniji faktor jer se operacije kuka smatraju delikatnim balansom između veštine i ekspertize lekara, ali i kompleksnosti pacijentovog stanja - navodi za Kurir prof. dr Nemanja Gvozdenović, specijalista ortopedske hirurgije i traumatologije iz Klinike za ortopedsku hirurgiju i traumatologiju Univerzitetskog Kliničkog centra Vojvodine.

Kod lokalnih komplikacija izdvaja se infekcija rane, površinska ili duboka koja prodire u sam zglob kuka i, pored infekcije mekih tkiva, može zahvatati i koštane elemente u kojoj su implantirane komponente proteze.

- U lokalne komplikacije spadaju i povrede krvnih sudova i nervnih struktura, nejednakost dužine ekstremiteta, kao i mehaničke komplikacije. Ove potonje mogu se javiti u vidu nestabilnosti, odnosno iščašenja proteze kuka (učestalost od 1-5%). Stabilnost protetskog implanta zavisi od postoperativnog ponašanja pacijenata, kvaliteta koštanog tkiva, pridruženih bolesti, odnosno neuroloških oboljenja, ali i drugih faktora na koje utiče sam hirurg. Ti drugi faktori su pozicioniranje komponenti proteze, odabir adekvatne hirurške tehnike, pravilan izbora implantata, ali i sveobuhvatna procena stanja pacijenta, odnosno da li ispunjava uslove za izvođenje ovakvog kompleksnog hirurškog zahvata - objašnjava prof. Gvozdenović.

I razlabavljenje komponenti proteze je moguća komplikacija mehaničkog tipa, koja se dešava kada s vremenom čvrstina proteze oslabi usled repetitivnih pokreta koje pacijent može i mora da načini, budući da svaka proteza ima odgovarajući vek trajanja.

- Osim navedenog, atraumatskog, postoji i traumatsko razlabavljenje, koje nastaje dejstvom sile na karlicu ili but - obično prilikom padova ili u slučaju saobraćajnih nezgoda. To je najteži oblik komplikacija nakon ugradnje totalne proteze kuka (TPK) i uvek se mora zbrinuti hirurškim putem - navodi prof. Gvozdenović.

Zbrinjavanje pacijenata s najtežim vidovima komplikacija nakon TPK, ističe prof. Gvozdenović, zahteva visok nivo znanja i ekspertsku sposobnost hirurga iz oblasti traumatologije i protetske hirurgije.

prof.-dr-nemanja-gvozdenovic.jpg
Foto: Privatna Arhiva

- Ovakve povrede češće su kod žena starije životne dobi koje boluju i od osteoporoze, pa je njihovo lečenje praćeno visokim procentom komplikacija, ali i stopom smrtnosti - gotovo 100 odsto u prvih šest meseci od povrede, ukoliko se ne pristupi operativnom lečenju. Ovakve operacije se klasifikuju kao najteže u ortopediji i zahtevaju stabilnu fiksaciju slomljenih kostiju i postavljanje nove - ali sada revizione proteze, koja je kompleksniji tip proteze - kaže naš sagovornik.

Lokalne komplikacije

  • infekcija rane
  • povrede krvnih sudova
  • povrede nervnih struktura
  • nejednakost dužine ekstremiteta
  • mehaničke - iščašenja proteze kuka i razlabavljenje komponenti proteze

Generalizovane komplikacije

  • tromboembolija pluća
  • masna embolija
  • sepsa

Sepsa

UKC Vojvodine beleži porast pacijenata sa implantacijom totalne proteze kuka.

- Desetogodišnjom analizom pacijenata sa TPK u Kliničkom centru Vojvodine, konstatovali smo povećanje broja pacijenata s mehaničkim komplikacijama, pre svega razlabavljenja komponenti usled godina korišćenja i komplikacije koje nastaju usled padova, tj. prelom karlice i butne kosti. Ovo se objašnjava činjenicom da je svake godine sve veći broj operisanih pacijenata kome je implantirana TPK - objašnjava prof. Gvozdenović.

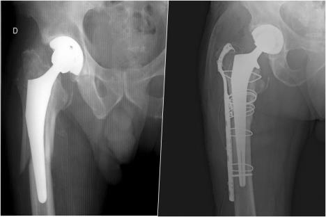
collage.jpg
Foto: Privatna Arhiva

U tzv. generalizovane komplikacije ubraja se tromboembolija pluća, koja nastaje usled formiranja tromba u krvnim sudovima nogu koji, ukoliko se oslobodi, krvotokom dolazi do pluća i izbacuje ih iz funkcije. Tu su i masna embolija, kada komadići masti iz koštane srži dospeju u krvne sudove, i sepsa.

- Ovakve komplikacije se mogu razviti odmah u toku same hirurške intervencije - prelomi karlice i butne kosti, krvarenja, povrede nerava i ligamenata ili kasnije, posle nekoliko nedelja, meseci pa čak i godina - navodi prof. Gvozdenović i zaključuje:

- Iako se sve ove navedene komplikacije dešavaju retko, u manje od oko 10 odsto slučajeva, u slučaju kada se jave iziskuju hitno i precizno medicinsko zbrinjavanje, jer predstavljaju osnovni uzrok nezadovoljstva i lošijeg kvaliteta života pacijenata.

Kurir.rs/ J. S. Spasić