Neverica
(VIDEO) Imao je bolove u stopalu 4 godine, a ono što je izašlo iz noge šokiralo je sve doktore
Doktori su zaključili da je parazit u stopalu živeo oko četiri godine, a narastao je do skoro metar dužine
Muškarac iz Sudana nije imao pojma da u njemu živi parazit koji se razdelio na pola i raširio se po stopalu. Posetio je doktora nakon što mu je noga otekla.
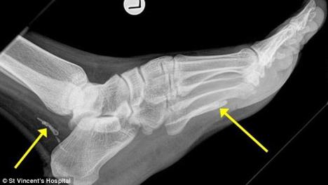
Rendgenski snimak stopala muškarca (38), australijskog imigranta iz Sudana, otkrila je da mu je u peti živeo gvinejski crv, parazit koji izjeda telo iznutra.
Doktori su zaključili da je parazit u stopalu živeo oko četiri godine, a narastao je do skoro metar dužine... Uklonjen je operacijom i pacijent se oporavlja.
Gvinejski crv je parazit koji u telo dospeva putem zagađene vode. Ličinka se razvije u crva koji kopa meso i izlazi iz tela kroz kožu. Taj proces može trajati godinama dok se ne pojave problemi. Ne može da se leči već jedino da se ukloniti operacijom.
(Daily mail)