Od pacijenta bez zuba sa "zgužvanim licem" napravio manekena: Stomatolog izveo magiju, ovakvu transformaciju još niste videli (FOTO)
Navikli smo do sada da nas estetski hirurzi - pogotvo oni u Turskoj - neprestano na društvenim mrežama šokiraju neverovatnim transformacijama svojih pacijenata.
S obzirom na to da im je to najbolja reklama, medicinari koji se bave domenom estetike konstatno prikazuju rezultate svog rada na fotografijama pre i posle izvršenih korekcija, a mnogi se zbog toga često zapitaju da li je u pitanju realnost ili fotošop - jer su prizori nestvarni! Slično su sada počeli da rade i stomatolozi, a promena ličnog opisa jednog pacijenta toliko je zadivljujuća, da su mnogi u trenutku shvatili koliki je, zapravo, značaj zdravih i lepih zuba za naš izgled.
U galeriji pogledajte kakvu je šok transformaciju napravio dr Perman Rejsi:
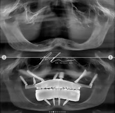
Stomatolog dr Perman Rejsi iz Sjedinjenih Američkih Država na svom Instagramu podelio je transformaciju jednog pacijenta, a fotografije pre i posle intervencije prikazuju nam jednog mladića bez zuba, sa gotovo "zgužvanim" donjim delom lica i neverovatnu promenu nakon što su mu ugrađeni implanti. Lice mu je doslovno vraćeno u prirodno i prvobitno stanje i konačno je mogao da se osmehne - sebi, životu i mnogo lepšoj budućnosti koja ga očekuje.
Dr Pej Rej, kako je poznat na mrežama, pokazao je putem fotografija i video snimaka kako funkcioniše čitava procedura, pa pomenuo koliko je implantologija značajna grana stomatologije, pogotovo kada su u pitanju ljudi koji su izgubili sve zube - a samim tim i nadu i volju za životom - koje im on, svojim umećem i znanjem, vraća.
Dr Rejsi jedan od najcenjenijih stomatologa u Americi
Inače, dr Pejman Rejsi je ugledni stomatolog specijalizovan za oralnu implantologiju i rekonstrukcije celih zubnih lukova i usne duplje. Doktorat je stekao na Stomatološkom fakultetu Univerziteta u Tenesiju i nosilac je prestižne titule Diplomate Američkog odbora za oralnu implantologiju (DABOI), prenosi Blic žena.
Dr Rejsi je, takođe, međunarodni predavač, poznati influenser, konsultant i mentor - kako novim tako i iskusnim stomatolozima.
Video: Šta sve stomatolog zna o vama, a da toga niste ni svesni
