Kada se ova beba rodila, hitno je odvedena na hirurgiju. Doktori su pronašli nešto neočekivano...međutim sačekalo ih je još jedno iznenađenje!

Tifni i Meni Eskvibel pokušavali su godinama da imaju bebu. U braku su 13 godina i oduvek su želeli decu. Kada je Tifni ostala u drugom stanju, to je zaista bio povod za slavlje.

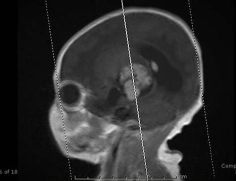
Ali kako je stigla u kasnije faze trudnoće, doktori su pronašli nešto zabrinjavajuće: Beba je navodno imala tumor na mozgu. Oni su savetovali Tifni da se ubrza porođaj i ona se složila. Čim je beba bila rođena, hitno su je odveli na operaciju.

Tada su roditelji primili loše vesti. Doktor je rekao da beba, Sem, ima kancerogeni tumor. Pitali su Tifni da li je religiozna i savetovali je da krsti bebu.

beba-sem-tumor.jpg
Foto: Ilyke.com

"To je bio najteži deo kroz koji sam prošao - kada su počeli da govore da bi trebalo da krstim svog sina, to je bilo jako teško", rekao je Meni.

"Zapravo su nam rekli da su šanse bile 50/50, da li će preživeti ili neće", rekla je Tifni.
Njihova jedina nada bila je hitna operacija koja je uvek rizična kod beba. Sem je poslat u Memorijalnu bolnicu za decu u Kolorado Springsu, gde je doktor Pol Grebov tim operisao kako bi izvukli tumor.

beba-sem-tumor.jpg
Foto: Ilyke.com


"Nešto nije u redu sa vašom bebom."
Tokom operacije, doktor Greb video je nešto što nikada ranij enije video: stopalo, potpuno formirano u pacijentovom mozgu.
"To me je nateralo da zaustavim operaciju, jer nisam baš navikao da vidim stopalo u mozgu", rekao je kasnije Greb.

Stopalo je najverovatnije bilo teratoma, što je zapravo masa koja se stvara tokom trudnoće sa nekompletnim delovima tela. Moguće je i da je bio "fetus unutar fetus", neobično stanje u kome blizanac počne da raste u drugom.
I dok je ovo zaista bizarna situacija, Sem je zdrav i srećan dečak. Trebaće mu manje fizičke terapije kako bi se ispravila nepravilnost sa desne strane glave i ima ožiljak od operacije, ali očekuje se pun oporavak.

U međuvremenu, njegovi roditelji su ove okolnosti videli kao čudo.

"Mi ga jednostavno mnogo volimo", rekla je Tifni.

"On je potpuno preokrenuo naš život, to je sigurno", dodao je Meni.

beba-sem-tumor.jpg
Foto: Ilyke.com

(Ilyke)