Naučnici su otkrili znake da možda postoje zdravi virusi koji žive u vašem stomaku

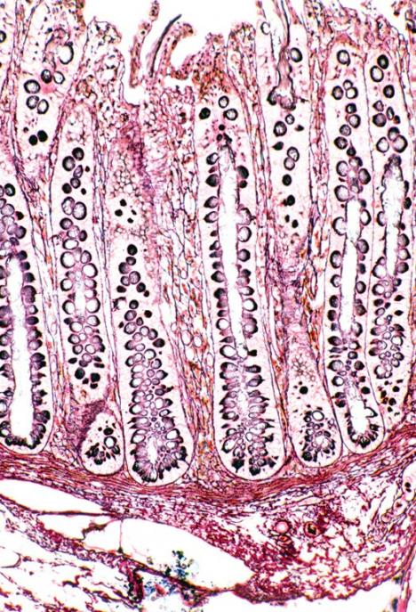
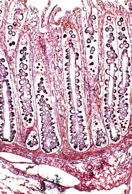
Kad pomislite na virus, prvo što vam padne na pamet verovatno su ebola i grip. Ali nisu svi virusi pošast koja izaziva bolest. Postoje novi dokazi koji pokazuju da su neki virusi čak korisni. U studiji koju je objavio časopis Nejčer, istraživači su uspeli da ojačaju imunološki sistem miševa i delimično im izleče oštećena creva tako što su ih izložili virusu. Ova i jedna druga novija studija ukazuju na to da su virusi važan deo crevne mikroflore, skupine ogromnog broja mikroba koji žive u digestivnom traktu, gde pomažu varenje hrane i regulišu imunološki sistem.

"To je prvi primer da se životinjski virus u stomaku ponaša kao prijateljska bakterija", kaže autor studije Kenet Kadvel, virusolog na Njujorškom univerzitetu. Istraživači su za potrebe ove studije odgajili miševe u sterilnim uslovima u kojima nisu bili izloženi zdravim bakterijama koje normalno žive u digestivnom traktu. Zbog toga se u crevima ovih miševa nije razvio dovoljan broj resica, prstolikih izraslina preko kojih se apsorbuju hranljive materije. Oni su takođe imali oslabljen imunološki sistem.

Naučnici su miševe tad izložili mišjem norovirusu, koji kao ljudski patogen može da izazove dijareju i povraćanje, ali kod miševa nema takvo dejstvo. U stvari, čini se da je virus stimulisao imunološki sistem i sanirao najveći deo oštećenja koje je u crevima nastalo zbog sterilne sredine.

Ovo otkriće otvara mogućnost da se korisni virusi jednoga dana upotrebljavaju slično kao što danas koristimo probiotike (koji sadrže korisne bakterije). Ili bi pak moglo da dovede do razvoja farmaceutskih preparata koji bi stimulisali imunološki sistem na isti način kao i korisni virusi. Kadvel misli da je poboljšanje do kojeg je došlo kod miševa rezultat imunog odgovora organizma na virus, a ne delovanja samog virusa. Kad njegov tim otkrije kako se odvija biohemijski proces, kaže on, biće moguće da se napravi lek koji će da napadne ono što sledi odmah posle virusne infekcije. „Ipak, ne bih voleo da u međuvremenu neko pomisli kako treba da se zarazi bilo kojim poznatim virusom“, dodaje Kadvel.

Piše: Daglas Mejn