Dobro je što se preterano ne izlažete suncu, ne boravite mnogo vremena napolju kad je veoma vruće, posebno na većoj nadmorskoj visini. To treba da slede svi koji imaju svetliju put, pege ili brojne mladeže, velike ili neobičnog oblika.

Međutim, problem je što suvišno hvatanje tamnijeg tena bez adekvatne zaštite nije i jedini razlog zbog kog možete da dobijete rak kože.

Pojedine bolesti i lekovi koje zbog njih svakodnevno uzimate slabe vaš imuni sistem i ujedno vašu kožu čine osetljivijom na svetlost, pa i zbog toga možete da zaradite ovu opaku bolest. Zato bi svi kojima je prepisana neka terapija trebalo bar jednom godišnje da odu na pregled kod dermatologa, a sami jednom mesečno pažljivo da istraže svoje telo.

lekovi.jpg
Foto: Shutterstock

Najgore je što kancer ne bira mesto. Može da se pojavi ispod nokta na nozi ako nosite otvorenu obuću, na tabanima, dlanovima, jeziku, usnama... Javlja se i na koži glave: oko 13 odsto ukupnih karcinoma kože nalazi se na skalpu. Mala, glatka, voštana kvržica koja krvari ili ima opnu zahteva pregled lekara, samo on može da vam kaže da li je bezopasna.

Ako se ne leči, rak kože na spoljašnjoj strani uha (skvamozne ili bazalne ćelije) može se proširiti na njegovu unutrašnjost, što uključuje ušni kanal koji ide od vašeg spoljašnjeg uha do sitnih kostiju u srednjem uhu, odnosno do nerava nalik dlakama u vašem unutrašnjem uhu koji šalju signale vašem mozgu, kao i na slepoočnu kost.

rak-u-uvu.jpg
Foto: WebMD

Veliku opasnost predstavljaju i promene na očima!

Izlaganje suncu i svetlosti je često uzrok raka kože na očnom kapku. Možete ga hirurški ukloniti, a obično neće ostaviti posledice ako krenete rano s lečenjem.

Ova vrsta raka najčešće počinje u bazalnim ćelijama u gornjem sloju kože (epidermu), dok ozbiljniji oblik nastaje u skvamoznim ćelijama, koje su još bliže površini vaše kože. Rate brže i lakše se širi na obližnja tkiva, pa ako primetite makar malu neobičnu tačkicu na kapku, hitno idite kod lekara.

ocni-kapak.jpg
Foto: WebMD

Svakodnevno treba da pogledate i same oči. Možda ćete videti „uvealni“ ili „intraokularni“ melanom - tamnu tačku u obojenoj šarenici oko zenice. Takođe, morate da se javite specijalisti ako vam se magli vid.

Ćelije kože koje se nazivaju melanociti rastu van kontrole i formiraju tumor. To je najčešći oblik raka koji počinje u oku i može se proširiti na druge delove vašeg tela kroz vaše limfne čvorove i na druge delove vašeg tela, obično na jetru kroz vaš krvotok.

duzica-oka.jpg
Foto: WebMD

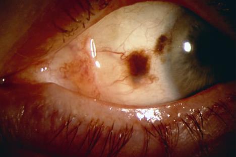
Tamna ili crvena tačka na beonjači takođe opominje.

Konjunktivalni melanom je kancerogena izraslina na konjunktivi, bistroj membrani koja pokriva površinu oka i unutrašnjeg kapka. Može biti ozbiljna i može se proširiti na druge delove tela kroz limfne čvorove ili krvotok.

rak-u-oku.jpg
Foto: WebMD

Ako vaš lekar posumnja u to, možda će uzeti uzorak tkiva da pogleda pod mikroskopom kako bi se utvrdilo da li je u pitanju rak.

Kurir.rs/WebMD

Bonus video:

BORBU SA TEŠKOM BOLEŠĆU PRIHVATILA SAM KAO IZAZOV! Ana Dornik ispričala kako je uz podršku svoje dece pobedila RAK DOJKE Izvor: Kurir televizija