Poznati francuski di-džej zadobio je prelom ruke tokom tuče nakon nastupa na festivalu elektronske muzike u Hrvatskoj.

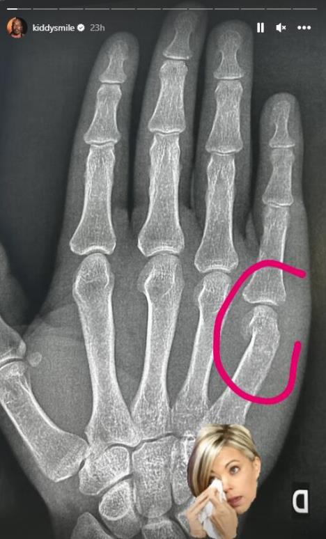
Pjer Haše, poznatiji pod umetničkim imenom Kidi Smajl, oglasio se na društvenim mrežama nakon incidenta na festivalu u Tisnom. Muzičar je objavio i fotografije na kojima se vidi slomljena ruka i da je potražio pomoć lekara.

Tvrdi da ja jedan mladić prvo vređao njegovog prijatelja, zatim i njega, a onda je navodno došlo do fizičkog sukoba.

screenshot-20230819-122346.jpg
Foto: Printskrin/Instagram

- Mislim da je bitno da se zna šta se dogodilo. Osećanja su mi pomešana, a ruka slomljena. Hrvat je mog prijatelja nazvao pogrdnim imenima zbog njegove seksualne orijentacije. Muškarac ga je napao, a on je već imao loš dan. Prišao sam mu i pitao zašto je prozivao mog prijatelja - navodi Kidi Smajl.

screenshot-20230819-122414.jpg
Foto: Printskrin/Instagram

Incident se prema njegovim rečima dogodio u bekstejdžu.

- Muškarac je imao narukvicu za izvođače pa sam ga pitao s kim je došao. Počeo je da se dere na mene i onda me je udario. Pokušao sam da ga zaustavim, ali me udario još jednom. Tada sam izgubio kontrolu i srušio sam ga na pod. Došlo je obezbeđenje koje ga je smirilo. Bio sam jako uzrujan jer sam bio na lepom festivalu i super sam se provodio sa svojim prijateljem. Ne mogu da verujem da sam napadnut zato što sam homoseksualac. Primio sam dva udarca jer sam razmišljao o tome u kakvu ću se poziciju dovesti kao izvođač ako udarim nekoga na festivalu, a pri tome sam druge rase i kvir - dodao je di-džej.

Kidi Smajl na društvenim mrežama ima više od 86.000 pratilaca. Poznat je i kao plesač i glumac, ali i po pojavljivanju u televizijskim emisijama.

(Kurir.rs/Večernji)