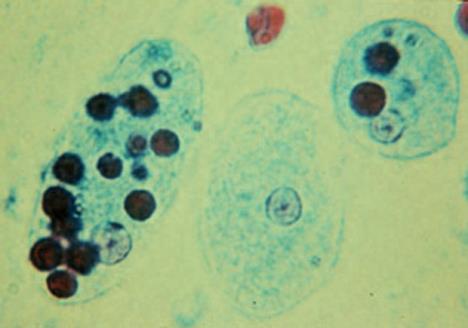
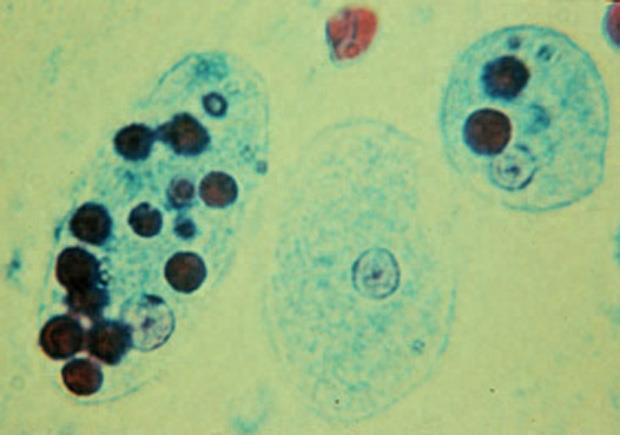
Nova studija pokazuje da ovaj parazit kida žive komade ćelije griz po griz dok ne umru i onda kreće dalje

Nekad se smatralo da Dizenterična ameba ubija ljudske ćelije sa otrovima i jede ih tek kad su one mrtve. Dok jede zamota celu ćeliju kao što rade druge amebe, a onda ih potom svari.

Međutim, nova studija pokazuje da ovaj parazit kida žive komade ćelije griz po griz dok ne umru i onda kreće dalje.

Prema ovim saznanjima smatra se da je parazit vrlo opasna i ljudi bi trebalo da se boje više njenog ugriza više nego ugriza morskih pasa budući da je kriva za smrt više od 100 hiljada ljudi godišnje, za razliku od morskih pasa koji ubiju od pet do deset ljudi svake godine.

"Proces jedenja ćelija dok su žive niko nije primećivao više od 100 godina. To je potpuno promenilo pogled šta naučnici misle o parazitima i moglo bi da dođe do novog tretiranja patogenih bakterija koje žive u crevima i inficiraju oko 50 miliona ljudi širom sveta. U određenim okolnostima mogu da izazovu potencijalno kobne prolive", rekao je koautor studije i infektolog Viliam Petri sa Univerziteta Virdžinia.

Naučnici su otkrili grickanje nakon uvođenja fluorescentnih materijala u amebe i ljudske ćelije, pa su ih potom posmatrali u laboratoriji.

"Bilo je neverovatno videti amebe kako grizu žive ćelije", rekla je mikrobiolog Katarina Ralston.

(Jutarnji.hr)