Kada odete kod frizera, obično znate šta očekujete. Dobićete pranje kose, pričaćete sa frizerom, a onda ćete otići sa novom frizurom kući.

I dok možete da brinete da ne odete kući sa katastrofom na glavi, verovatno ne razmišljate da odande nećete izaći živi.

Ali možda biste trebali da mislite i o tome.

frizer-smrt-bolnica.jpg
Foto: Boredomtherapy


Život jedne žene je promenjen zauvek kada je jedna obična poseta salonu završena tako što je hitno odvezena u bolnicu. Kada su joj doktori rekli šta se desilo, nije mogla da veruje šta čuje...a nećete ni vi!

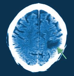
2010. godine, život Elizabet Smit je zauvek promenjen.

frizer-smrt-bolnica.jpg
Foto: Boredomtherapy

Kada vam frizer pere kosu, ugao vaše glave nad šamponjerom može da izazove štetu na vašim arterijama od hipertenzije. Naime, Elizabet je doživela moždani udar.

frizer-smrt-bolnica.jpg
Foto: Boredomtherapy

Posle 8 meseci, Elizabet se oporavila od ovog užasnog incidenta i sada želi da pomogne drugim ženama.

frizer-smrt-bolnica.jpg
Foto: Boredomtherapy

(Boredom Therapy)