SNIMAK KOJI ĆE VAS IZNENADITI: Evo kako iznutra izgleda srce dok kuca? (VIDEO)
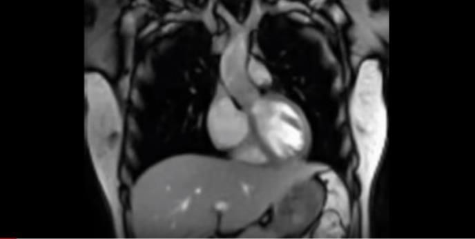
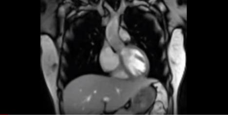
Naučnici nemačkog Instituta Maks Plank snimili su, pomoću magnetne rezonance, nekoliko snimaka koji prvi put prikazuju kako određeni biološki procesi izgledaju kada se gledaju "iznutra".
Na kanalu Instituta na Jutjubu postavljena su tri snimka - govora, pevanja i rada srca. Nastali su zahvaljujući novoj tehnologiji magnetne rezonance koja stvara pokretne slike u realnom vremenu.
Jedan od pionira magnetne rezonance Jens Fram, profesor nemačkog Instituta za biofizičku hemiju Maks Plank, razvio je sistem FLASH2 - koji koristi matematičke procese za rekonstrukciju skenova u pokretne slike, piše britanski Dejli mejl.
Ta tehnika je još znatno ubrzala MRI skeniranje i omogućila prikazivanje do 100 sličica u sekundi, navode iz Instituta.
"Prvi put je moguće posmatrati zajedničke pokrete, govorna kretanja, procese gutanja ili otkucaje srca onda kada se i odvijaju i izvući zaključke o tome zašto koleno boli kada se savija...", objašnjavaju naučnici.
"Sad možemo da vizealizujemo procese koje dosada nismo videli", zaključio je profesor Fram./Foto Print
Kurir.rs/Foto Printscreen