ŠAMPIONU MOTOR POLOMIO RUKU! Procureo SNIMAK sa rendgena nakon jezivog pada: Kobna treća KRIVINA i prednji TOČAK! VIDEO
Pad osmostrukog moto GP šampiona Marka Markeza na trci u Herez bio je ne samo jeziv, već težak i za gledanje.
Markez je tokom čitave trke u Herezu imao problema sa prednjim točkom koji nije dobro "hvatao".
Već u četvrtom krugu je pao, ali uspeo i da ne slupa motor nakon što je završio u šljunku treće krivine.
Iako je pao na smo začelje trke, osmostruki šampion sveta je uspeo da se vratio sve do četvrte pozicije!
Delovalo je da može i do podijuma kada se ponovo desila kobna treća krivina.
U želji da kompenzuje nedostatak sa kojim se nosio čitavu trku, dao je previše gasa, a onda je usledio pad koji je bio bolan, a ostavio je i znatne posledice.
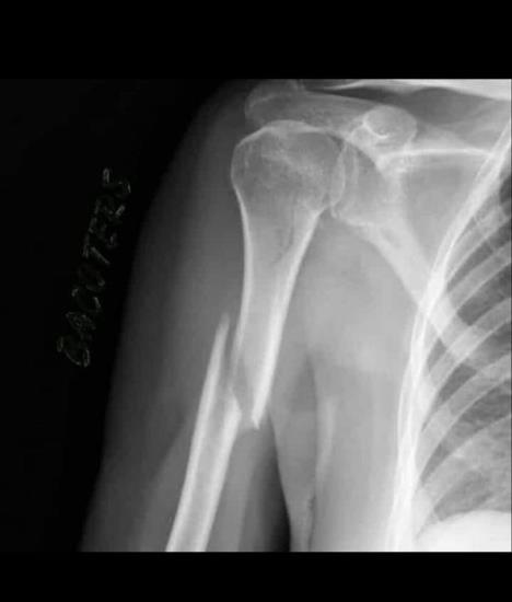
Naime, motor je udario Markeza i tom prilikom mu polomio nadlakticu. Nije dugo prošlo, a njegov snimak sa rendgena je procueo u javnost.
Specijalista traumatologije koji radi u Moto GP doktor Mir je rekao da mu pad nije polomio kost, već se to desilo kada se sudario sa motorom.
- Mark Markez je pretrpeo povredu od direktnog udara gume u desnu ruku, to je dovelo do frakture. Iako nije potpuno dislocirana, postoji mogućnost da ima paralizu radijalnog nerva, iako to nije sigurno. Odmah je imobilisan i prebačen u Barselonu na dalje lečenje - rekao je doktor Mir.
Ispostavilo se da je to operacija koja je vratila kost na mesto i tako može da se nastavi sa ubrzanim oporavkom.
Markez je obećao da će se vratiti još jači.
- Ponekad stvari ne idu kako ste planirali, ali najvažnij stvar je da ustanete i nastavite dalje. Nadam se da se radujete mom povratku. Ovog utorka mi je zakazan operacija da se namesti moja desna nadlaktica. Obećavam da ću se vratiti što je pre moguće i još jači!
Kurir sport
