Tvit jednog srpskog lekara naišao je na burne reakcije pa i pohvale građana u kome je objasnio kako je uz pomoć jedne starinske metode izlečio pacijenta od HOBP (hronične opstruktivne bolesti pluća).

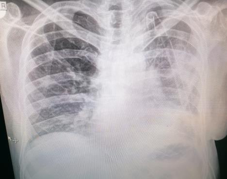
tvit-1.jpg
Foto: Printscreen

- Elem, pacijenta sam primio pred Novu godinu, zbog toga što mu je "pukla" pluća maramica levo. Čovek boluje od nelečene HOBP na koju je fasovao koronu.

LEKAR TVRDI: EKSPERIMENT USPEO! Izlečio sam zaraženog pacijenta od teške bolesti pluća uz ovu MATORU metodu! Ovo će vas iznenaditi Foto: Printscreen

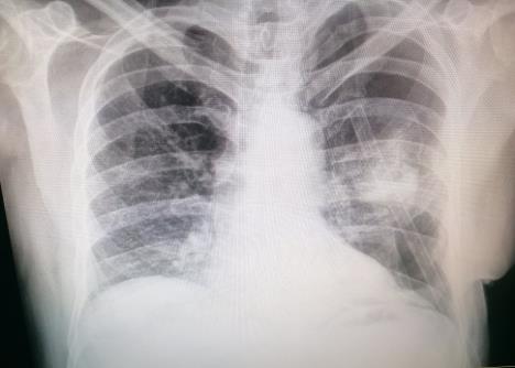
Zbog terapije ogromnim količinama kortikosteroida, na takva pluća je zaradio bakterijsku super-infekciju koja je i dovela do toga da dobije dren, a onda zbog daljih komplikacija ga odvedem u salu. Iseče mu se taj deo pluća i nalaz kaže da se radi o hronično nekrotičnoj pneumoniji - trule mu pluća zbog bakterije. Postoperativno peti dan opet počne da gubi veću količinu vazduha - piše u tvitu i dodaje:

tvit-2.jpg
Foto: Printscreen

- Opcije su bile ili da se čeka ili da se operiše opet. S obzirom da nisam hteo ništa od ponuđenog, probao sam matoru metodu i jeftinu - da mu ubrzigam njegovu krv u grudni koš ne bih li uspeo da tako da mu zapušim rupu... Eksperiment je uspeo, rupa se zatvorila tokom 48 sati i pacijent se polako sprema za otpust kući, oporavljen... Živele knjige i hvala dragom Bogu na njima.

Kurir.rs