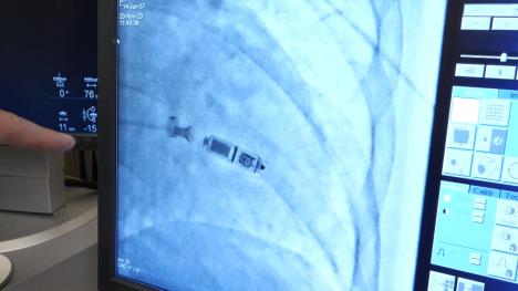
Televizija Kurir prisustvovala je ugradnji minijaturnog pejsmejkera, u operacionoj sali Univerzitetskog kliničkog centra Niš! Ovaj mikro pejsmejker se ugrađuje direktno unutar srčanog mišića kroz femoralnu venu i naročito je važan za pacijente kod kojih klasična operacija nosi veliki rizik

296824.01-11-57-21.still013.jpg
Foto: Kurir TV

Taj mikro pejsemejker ugrađuje se, kažu, direktno unutar srčanog mišića, kroz femoralnu venu, i posebno je važan za pacijente kod kojih klasična operacija nosi veliki rizik.

bolnica.jpg
Foto: Printscreen/Youtube/Euronews

Bez klasičnog operativnog reza, ovaj metod donosi velike benefite pacijentima koji su podložni riziku prilikom ugradnje klasičnog pacemakera. Smanjuje se trauma, a rizik od infekcije džepa u koji se aparat ugrađuje je takođe manji. Ovo je kratko definisana intervencija ugradnje minijaturnog pacemakera, koja se uspešno izvodi u Nišu u poslednje vreme.

- Iako nema mnogo ovakvih pacijenata, važno je napomenuti da je ovo strogo indikovana procedura, visoko specifična. Do danas smo izveli 12 ovakvih procedura ove godine, a pacijenti koji su indikovani dobijaju termin u roku od mesec dana - rekao je profesor dr. Tomislav Kostić direktor klinike za kardiologiju.

296824.01-10-37-22.still012.jpg
Foto: Kurir

- Ovo je samo dodatak onome što pejsemejker centar u Nišu već radi. Od 2.000 godine, kada je ugrađen prvi pacemaker, do danas smo došli do brojke od 780 ugrađenih pacemakera, što nas čini velikim regionalnim centrom -- istakao je.

KURIR TV PRISUSTVOVAO OPERACIJI UGRADNJE MINI PEJSMEJKERA U NIŠU: Direktor klinike otkrio šta je specifično kod ovog pejsmejkera Izvor: Kurir TV

- Kardiologija se izdvojila u masi onoga što radimo, naročito deo koji obuhvata interventne kardiologije, odeljenje za pacemakere i elektrofiziologiju. Napravili smo iskorake koji su pre par godina delovali nemogući - rekao je prof. dr Zoran Perišić, direktor UKC Niš.

296824.01-16-38-03.still009.jpg
Foto: Kurir

Postali smo veliki centar i za evropske standarde, ne samo regionalno već i na evropskom nivou, jer imamo veći broj ugradnji pacemakera od deset kuća u Evropi. Profesor dr. Tomislav Kostić ističe da ne postoji lista čekanja za ugradnju klasičnog pacemakera, već samo lista zakazivanja, dok pacijenti na operaciju ne čekaju duže od mesec dana..

Kurir.rs

Kurir televizija je dostupna na kanalu broj osam za korisnike MTS Iris TV, m:SAT tv, Supernova, BeotelNet, Orion telekom, Yettel Hipernet TV i Sat-trakt na teritoriji Srbije, u okviru platforme m:tel u Crnoj Gori i Bosni i Hercegovini i MTEL Global u dijaspori, kao i na aplikaciji Arena Cloud.

Bonus video:

LEKAR KOJI JE SPASAO SIMANIĆA OTKRIVA KADA SE BORIŠA VRAĆA NA TEREN: Neizmerna ljubav i empatija saigrača mu daju da snagu Izvor: kurir televizija