Marica Davidović (52) iz Žagubice već petu godinu živi s metastazama raka pluća. Ne samo da je zbog same dijagnoze morala da se bori sa smrću već je bila na korak od prekida hemioterapija i kraja pošto ni na nogama ni na rukama više nije imala vene da je bodu!

Srećom, Marica ima sina koji je mogao da joj plati 140.000 ugradnju port katetera, preko kog je primala terapiju i izvukla živu glavu. Ali mnogi u Srbiji teško bolesni, nažalost, na to ne mogu ni da pomisle.

marica-davidovi-na-hemioterapiju.jpg
Foto: Privatna Arhiva

Maja 2018. otkrila je i operisala tumor pluća, nakon čega je krenula s hemioterapijama u Požarevcu. Ali krenule su i metastaze, pa je decembra 2019. izvadila nadbubreg, a one na plućima gađala je iks nožem.

- Hemioterapije sam primala dok su mogli da mi bodu vene, i na rukama i na nogama, a i po 15 puta su me boli u cugu. Loše su i krte, pa su citostatici, koji su otrovni, odlazili u potkožno tkivo, infekcije se samo nizale. Oticale su mi i noge i ruke, izbijao gnoj, bolovi su bili nesnosni... Rešila sam da odustanem od svega, pa koliko poživim, mučenje je bilo neizdrživo - priča za Kurir Marica i veli da su doktori hteli da joj ugrade crevo za dijalizu, što praktično dođe na isto.

marica-davidovi.jpg
Foto: Privatna Arhiva

A onda je čula da između sebe pričaju da postoji neki port, ali da se to radi privatno i da je skupo. Tražila je po internetu, raspitala se...

- Ugradila sam port zahvaljući sinu, koji ga je platio 140.000 dinara, i 10 ciklusa hemioterapije primila bez ikakvih problema. To je aparat koji se ugrađuje pod kožu, malo niže od ključne kosti, pa iglom kroz kožu se plasira terapija. Ali niko ni u Žagubici ni u Požarevcu ne zna i ne sme da plasira iglu, pa sam morala u Beograd, na Institut za onkologiju, da bih primila hemioterapiju - navodi Marica, te dodaje da već godinu dana ne prima terapiju, bolest je u regresiji, metastaze na plućima u mirovanju, a one na mestu nadbubrega pretvorile se u želatinastu masu.

marica-davidovi-noge-od-bodenja-ya-hemioterapiju.jpg
Foto: Privatna Arhiva

- Kao da sam se ponovo rodila. Ostala je borba s rakom, tu sam pozitivac. Ali žalosno je što se ostali bolesnici muče, treba svi da imaju pravo na besplatan port - ističe Maricam koja za život zahvaljuje prof. dr Ivanu Marjanoviću, koji joj je ugradio port, dr Biljani Šehić sa iks noža i dr Jeleni Spasić sa Instituta za onkologiju.

BILA JE NEPOKRETNA

Suprug Zoran je Marici, kako sama kaže, život i najveća podrška. I sam je bar malo odahnuo kad je ugradila port.

- Zbog bodenja u noge bila je maltene nepokretna. Sad normalno živi, sprema ručak, nema neka opterećenja. Samo želimo da što više takvih bolesnika dobije port, opšta je besparica, ljudi to ne mogu da priušte - kaže za Kurir Zoran.

Međutim, o trošku RFZO, kako je Kuriru rečeno u Fondu, port ugrađuju samo u Institutu za plućne bolesti Vojvodine u Sremskoj Kamenici, a doktori na osnovu indikacija određuju koji su pacijenti kandidati za to. Vojni osiguranici to mogu na VMA. Ali, da zlo bude veće, i kad pacijenti imaju port, retko ko može terapiju da im da.

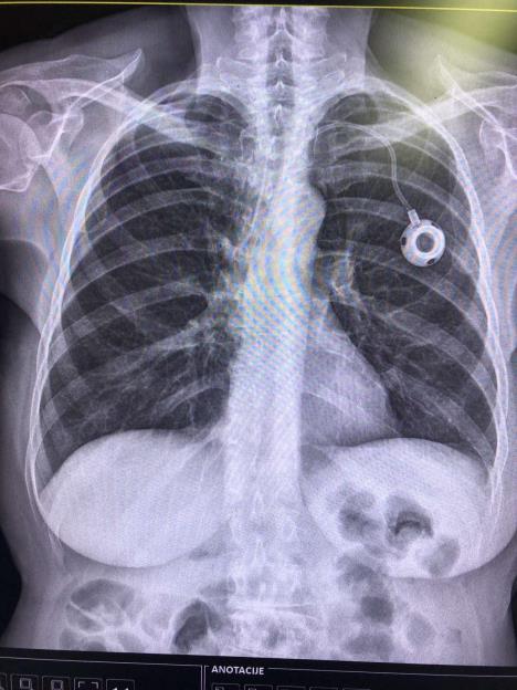
port-na-rendgenskom-snimku-pacijenta.jpg
Foto: Privatna Arhiva

Vaskularni hirurg prof. dr Ivan Marjanović, načelnik Grupe kabineta za hirurške bolesti na Klinici za vaskularnu hirurgiju VMA, objašnjava za Kurir da se port a kat (port a cath), tj. trajni centralni venski kateter zatvorenog tipa, fiksira na nagrudnom mišiću.

- Mora da ga ugradi vaskularni hirurg jer može da se povredi vena, arterija, plućna maramica, grudni koš. To je aparatić koji ima titanijumsko jezerce, kako ga zovemo, i silikonsku membranu. Igla preko koje ide terapija ubada se kroz kožu, na kojoj se port napipa. Preko silikonskog katetera povezan je s desnom pretkomorom srca, odakle se terapija distribuira u organizam. Niko u svetu neće da leči onkološke pacijente bez porta. I ne zbog očuvanja vena nego zato što je port jedini način da budete sigurni da je 100 odsto količine leka koji ste dali otišlo u cirkulaciju. Klasičnim bodenjem u venu iskoristivost leka je 60-70 odsto - ističe prof. Marjanović.

Port, dodaje, može da služi neograničeno i ne nosi nikakve rizike ako se koristi u sterilnim uslovima i održava, što znači i jednom godišnje konzervira, kako se ne bi unela infekcija i ne bi trombozirao.

107-news1-zorana-jevtic.jpg
Foto: Zorana Jevtić

- Imam pacijente, vojne osiguranike, koji port nose 20 godina, na VMA smo im ugradili - naglašava prof. Marjanović.

I tu je suština problema - zašto lekari ne ugrađuju portove širom Srbije?

- Edukovao sam kolege i u civilnim bolnicama u Novom Sadu, Nišu, Beogradu i port može život da spase kad ne ide preko vena. I ne koristi se za onkološke pacijente, već za sve koji zahtevaju dugotrajnu terapiju. Onkološki su samo najbrojniji - kaže prof. Marjanović i dodaje:

- Želim da se široke medicinske mase uključe u to, port je najlakši i najbezbedniji pristup za lečenje! Ne treba lekari i sestre da se plaše. Kad pacijenti odu na hemioterapiju da sestra sa zadovoljstvom kaže: "Ima port!" To pacijenti u Srbiji zaslužuju, to je standard u svetu.

marica-davidovi-ruke-od-bodenja-u-vene.jpg
Foto: Privatna Arhiva

Maričina rana posel ugradnje portafoto: privatna arhiva

PORT KATETER

- sastoji se iz male komore i tankog katetera

- postavlja se u veliku venu ispod ključne kosti

- preko njega može da se prima hemioterapija, antibiotici, lekovi protiv bolova, infuzije...

- pacijent dobija port pasoš sa svim informacijama o portu

Kurir.rs/J. S. Spasić

Bonus video:

OTKRILA SAM RAK DOJKE NA SVOJ ROĐENDAN! Ispovest hrabrih žena koje su odbile da budu deo crne statistike: ONE SE OVAKO BORE Izvor: Kurir TV